Treatment of a periodontal defect with the NIPSA protocol

Dr. Tom Kobe
Initial situation

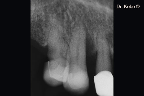
A female patient (55 years old) shows a deep periodontal defect in the upper jaw

Used biomaterials
  • Gel 40
Initial situation

Initial situation

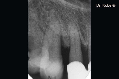
Vertical bone defect on the radiograph

Vertical bone defect on the radiograph

Horizontal incision (NIPSA) in the vestibule

Horizontal incision (NIPSA) in the vestibule

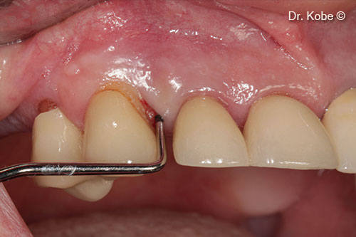
Access to the defect

Access to the defect

Root scaling and debridement

Root scaling and debridement

Root surface cleaned

Root surface cleaned

Defect filled with Gel 40

Defect filled with Gel 40

Defect filled with Gel 40

Defect filled with Gel 40

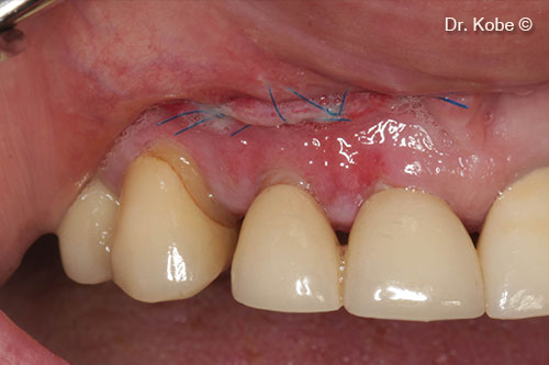
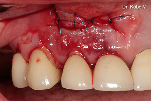
Wound sutured with interrupted sutures

Wound sutured with interrupted sutures

Complete wound closure after one week

Complete wound closure after one week

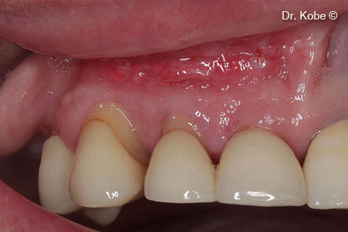
2-week post OP

2-week post OP

Vertical bone defect on the radiograph

Vertical bone defect on the radiograph

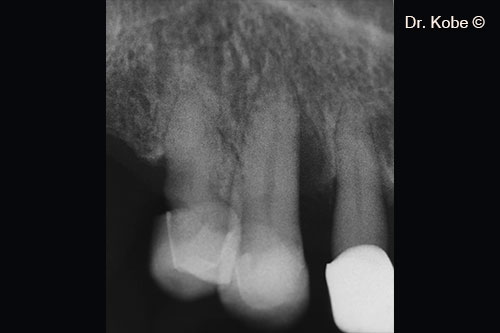
Radiograph 1 year after treatment

Radiograph 1 year after treatment

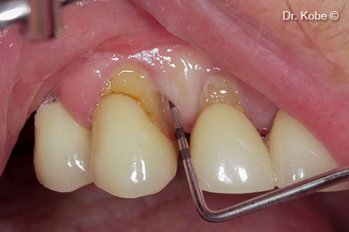
1-year follow-up

1-year follow-up

Used biomaterials
gel40
Gel 40
Are you a medical professional?
No

Attention please! The OsteoBiol® website contains information on Medical Devices, which may be dangerous for the patient health and safety if not used exclusively by medical professionals.