Treatment of a periodontal defect with the Entire Papillae Preservation Technique (EPPT)

Dr. Tom Kobe
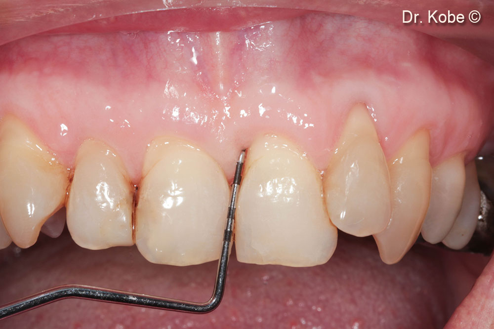
Initial situation

A female patient (47 years old) shows a periodontal defect

Used biomaterials
  • Gel 40
1. Initial situation

1. Initial situation

2. Vertical bone defect on the x-ray image

2. Vertical bone defect on the x-ray image

3. Horizontal incision at the adjacent tooth

3. Horizontal incision at the adjacent tooth

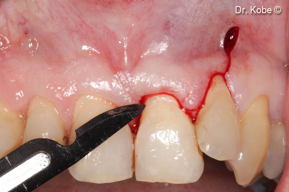
4. Access to the defect

4. Access to the defect

5. Root scaling and debridement

5. Root scaling and debridement

6. Defect filled with OsteoBiol®  Gel 40

6. Defect filled with OsteoBiol® Gel 40

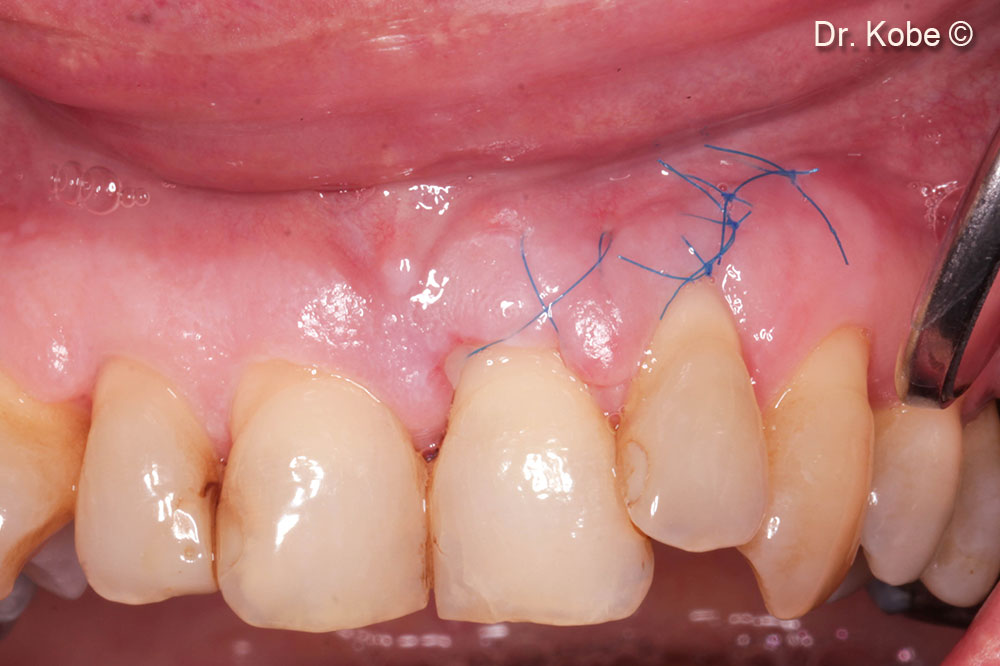
7. Wound sutured with interrupted sutures

7. Wound sutured with interrupted sutures

8. Complete wound closure after 1 week

8. Complete wound closure after 1 week

9. Result at 2 weeks post-op

9. Result at 2 weeks post-op

10. Initial x-ray

10. Initial x-ray

11. X-ray at 1-year follow-up

11. X-ray at 1-year follow-up

12. Clinical image at 1-year follow-up

12. Clinical image at 1-year follow-up

Used biomaterials
gel40
Gel 40
Are you a medical professional?
No

Attention please! The OsteoBiol® website contains information on Medical Devices, which may be dangerous for the patient health and safety if not used exclusively by medical professionals.