Treatment of a horizontal/vertical defect in the lower jaw with a xenogenic bone lamina

Dr. Antonio Armijio
Initial situation

A female patient (60 years old) shows a horizontal/vertical defect in the lower jaw

Used biomaterials
  • Apatos®
  • Lamina®
Initial orthopantomography

Initial orthopantomography

CT scan visualisation

CT scan visualisation

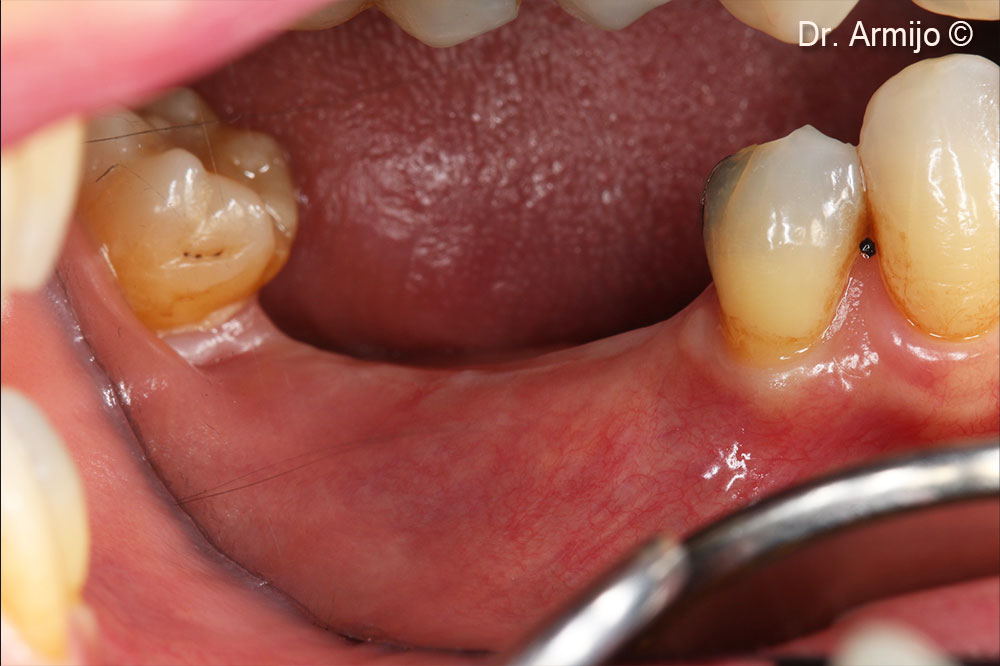
Initial clinical image (note the vertical defect).

Initial clinical image (note the vertical defect).

Detachment

Detachment

Perforations down to the medullary bone.

Perforations down to the medullary bone.

Placement of Apatos® and Lamina® Curved anchored with micro-screws

Placement of Apatos® and Lamina® Curved anchored with micro-screws

Wound closure with 6/0 Seralon suture

Wound closure with 6/0 Seralon suture

Healing at 7 days

Healing at 7 days

Healing at 8 months

Healing at 8 months

Healing at 8 months

Healing at 8 months

Clinical image at 8 months

Clinical image at 8 months

Clinical image at 8 months

Clinical image at 8 months

Placement of implants

Placement of implants

Post-surgery X-ray of implants

Post-surgery X-ray of implants

Used biomaterials
Apatos mix copia.png
Apatos®
lamina
Lamina®
Are you a medical professional?
No

Attention please! The OsteoBiol® website contains information on Medical Devices, which may be dangerous for the patient health and safety if not used exclusively by medical professionals.