Treatment of a complex defect in the upper jaw: the F.I.R.S.T. protocol

Prof Tiziano Testori
Initial situation

A female patient (62 years old) requires rehabilitation of the upper jaw.

Used biomaterials
  • Gen-Os®
  • Apatos®
  • Lamina®
Radiographic evaluation at consultation visit.

Radiographic evaluation at consultation visit.

Cone-beam computerized tomography exam after 4 months of healing.

Cone-beam computerized tomography exam after 4 months of healing.

Clinical view of the defect.

Clinical view of the defect.

Flap design

Flap design

Flap design

Flap design

The fit of the tooth-supported surgical template is carefully tested

The fit of the tooth-supported surgical template is carefully tested

Implant site preparation.

Implant site preparation.

Implant placement.

Implant placement.

Occlusal view of the horizontal bone defect around the dental implants

Occlusal view of the horizontal bone defect around the dental implants

Lamina® is adapted to the defect.

Lamina® is adapted to the defect.

Mix of Gen-Os®, Apatos®, and fibrin sealant.

Mix of Gen-Os®, Apatos®, and fibrin sealant.

Mix of Gen-Os®, Apatos®, and fibrin sealant in place.

Mix of Gen-Os®, Apatos®, and fibrin sealant in place.

Mix of Gen-Os®, Apatos®, and fibrin sealant in place.

Mix of Gen-Os®, Apatos®, and fibrin sealant in place.

Fibrin sealant is applied over the bone particles to allow Lamina® adhesion

Fibrin sealant is applied over the bone particles to allow Lamina® adhesion

Lamina® is placed with slight pressure.

Lamina® is placed with slight pressure.

Lamina® is placed with slight pressure.

Lamina® is placed with slight pressure.

Flap suture after the GBR.

Flap suture after the GBR.

Postoperative cone-beam computerized tomography exam.

Postoperative cone-beam computerized tomography exam.

Soft tissue healing after 5 months. Healing at the augmented site

Soft tissue healing after 5 months. Healing at the augmented site

Soft tissue healing after 5 months. Soft tissue evaluation of the adjacent tooth.

Soft tissue healing after 5 months. Soft tissue evaluation of the adjacent tooth.

Second stage surgery. Flap design.

Second stage surgery. Flap design.

Lamina® removal.

Lamina® removal.

Bone regeneration after Lamina® removal

Bone regeneration after Lamina® removal

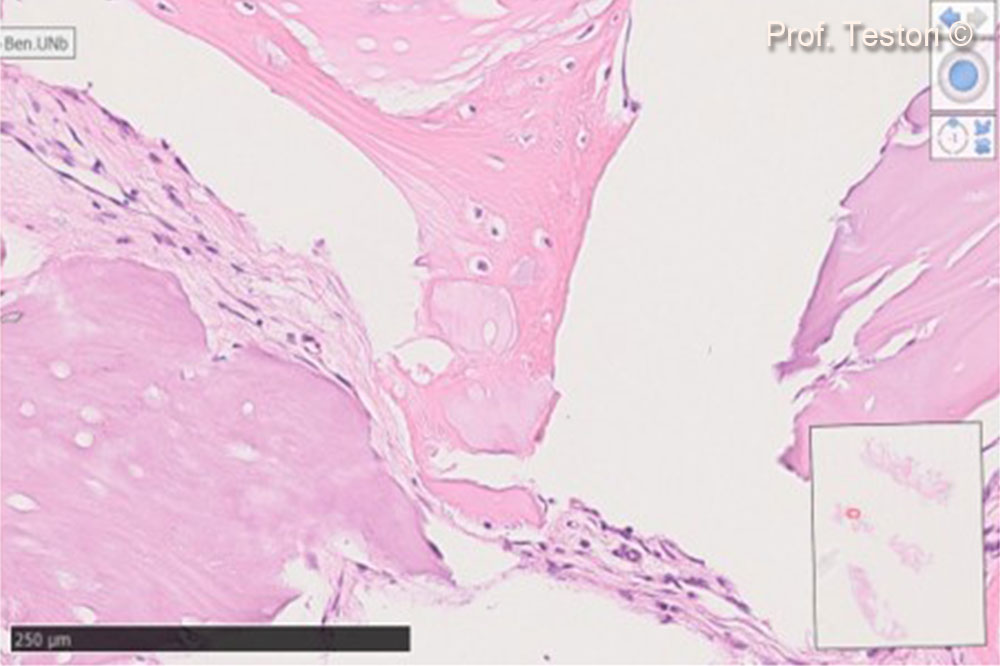
Bone biopsy.

Bone biopsy.

Bone biopsy.

Bone biopsy.

Soft tissue augmentation at adjacent tooth.

Soft tissue augmentation at adjacent tooth.

Soft tissue augmentation at adjacent tooth.

Soft tissue augmentation at adjacent tooth.

Flap sutures.

Flap sutures.

Flap sutures.

Flap sutures.

Cone-beam computerized tomography examination after second stage surgery.

Cone-beam computerized tomography examination after second stage surgery.

Three-dimensional superimposition of the CBCT after the first (gray) and second (red) stage surgery using Romexis.

Three-dimensional superimposition of the CBCT after the first (gray) and second (red) stage surgery using Romexis.

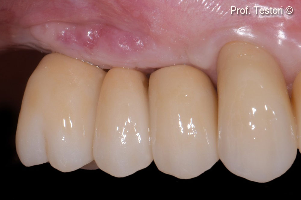
Definitive prosthesis delivery on buccal view.

Definitive prosthesis delivery on buccal view.

Definitive prosthesis delivery on palatal view.

Definitive prosthesis delivery on palatal view.

Peri-apical x-ray at definitive crown delivery after 4 months.

Peri-apical x-ray at definitive crown delivery after 4 months.

This image is showing particlesof the Gen-Os®  totally surrounded by newly formed bone. Biomaterial is acellular but has the same physiological properties as bone; hence, new bone is forming around the particles.

This image is showing particlesof the Gen-Os® totally surrounded by newly formed bone. Biomaterial is acellular but has the same physiological properties as bone; hence, new bone is forming around the particles.

Used biomaterials
Gen-Os 2025
Gen-Os®
Apatos mix copia.png
Apatos®
lamina
Lamina®
Are you a medical professional?
No

Attention please! The OsteoBiol® website contains information on Medical Devices, which may be dangerous for the patient health and safety if not used exclusively by medical professionals.