Complex functional, periodontal, restorative and esthetical rehabilitation of a patient with severe periodontitis

Dr. Christopher Köttgen
Initial situation

After tooth extraction, a female patient (63 years old) needs hard and soft tissue augmentation

Used biomaterials
  • Apatos®
  • Lamina®
1. Initial situation

1. Initial situation

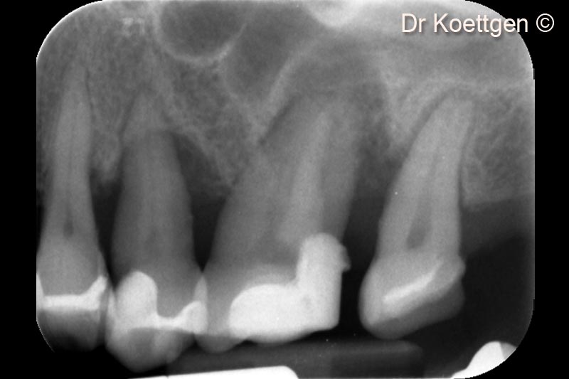
2. Initial x-ray

2. Initial x-ray

3. Extracted teeth (massive attachment loss)

3. Extracted teeth (massive attachment loss)

4. Healed ridge with loss of hard and soft tissue

4. Healed ridge with loss of hard and soft tissue

5. Occlusal view of situs

5. Occlusal view of situs

6. 3D build up of buccal and palatal wall with Tecnoss® Lamina® (0.8 mm)

6. 3D build up of buccal and palatal wall with Tecnoss® Lamina® (0.8 mm)

7. Defect filled up with autogenous bone mixed with OsteoBiol® Apatos®

7. Defect filled up with autogenous bone mixed with OsteoBiol® Apatos®

8. Healed side after 3 months

8. Healed side after 3 months

9. Insertion of implants

9. Insertion of implants

10. Uncovering with split finger technique 3 months after implantation

10. Uncovering with split finger technique 3 months after implantation

11. Uncovering with split finger technique 3 months after implantation

11. Uncovering with split finger technique 3 months after implantation

12. Free gingival graft

12. Free gingival graft

13. Sutured situation

13. Sutured situation

14. Healed situation

14. Healed situation

15. Final situation

15. Final situation

Used biomaterials
Apatos mix copia.png
Apatos®
lamina
Lamina®
Are you a medical professional?
No

Attention please! The OsteoBiol® website contains information on Medical Devices, which may be dangerous for the patient health and safety if not used exclusively by medical professionals.