Vertical Guided Bone and Tissue Regeneration with F.I.R.S.T.

Dr Vincenzo Foti
Initial situation

A male patient (71 years old) lacks teeth in positions 34 and 35.

Used biomaterials
  • Lamina®
  • Gen-Os®
The pre-operative clinical image shows a lack of teeth in positions 34 and 35.

The pre-operative clinical image shows a lack of teeth in positions 34 and 35.

The CBCT scan revealed a vertical defect in position 34

The CBCT scan revealed a vertical defect in position 34

Two implants are placed. The cortical bone is drilled to promote bleeding and recruit Mesenchymal Stem Cells

Two implants are placed. The cortical bone is drilled to promote bleeding and recruit Mesenchymal Stem Cells

A fibrin sealant, after dilution 1:10 of the thrombin, is mixed with Gen-Os®

A fibrin sealant, after dilution 1:10 of the thrombin, is mixed with Gen-Os®

Lamina® Soft is hydrated for five minutes with sterile saline and glued onto Gen-Os® bone granules by using a fibrin sealant

Lamina® Soft is hydrated for five minutes with sterile saline and glued onto Gen-Os® bone granules by using a fibrin sealant

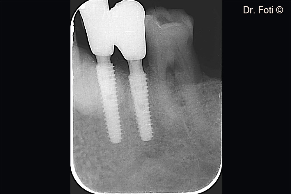
Suture without tension on the edges. Post-operative x-ray.

Suture without tension on the edges. Post-operative x-ray.

New anatomy and volume of the site after six months.

New anatomy and volume of the site after six months.

Since, compared to other techniques, there is no need to remove barriers, pins, or screws, a minimally invasive, partial-thickness incision is made to expose the implants.

Since, compared to other techniques, there is no need to remove barriers, pins, or screws, a minimally invasive, partial-thickness incision is made to expose the implants.

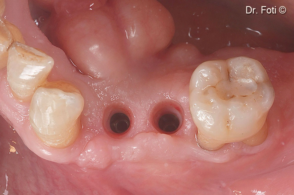
Two healing abutments are placed six months after the surgery

Two healing abutments are placed six months after the surgery

5/0 monofilament sutures sling around the healing abutments.

5/0 monofilament sutures sling around the healing abutments.

The clinical view shows the complete and uneventful soft

The clinical view shows the complete and uneventful soft

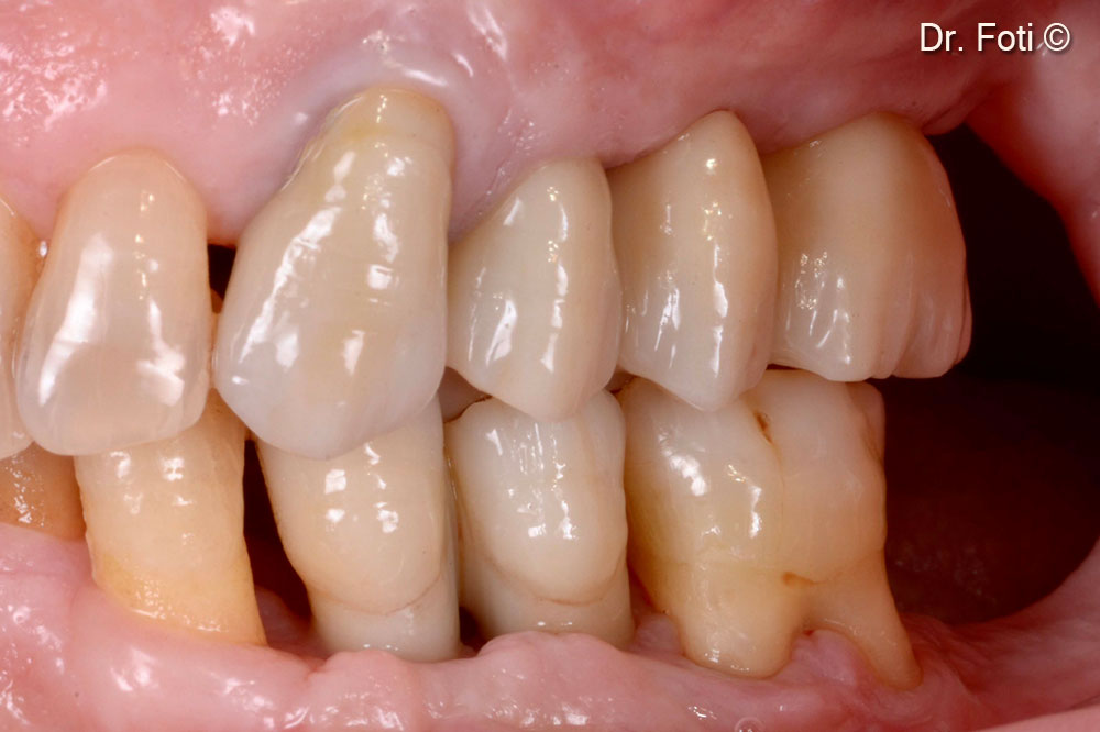
Prosthetic rehabilitation using a screwed monolithic zirconium bridge. Papillae are absent, but there is adequate keratinised mucosa

Prosthetic rehabilitation using a screwed monolithic zirconium bridge. Papillae are absent, but there is adequate keratinised mucosa

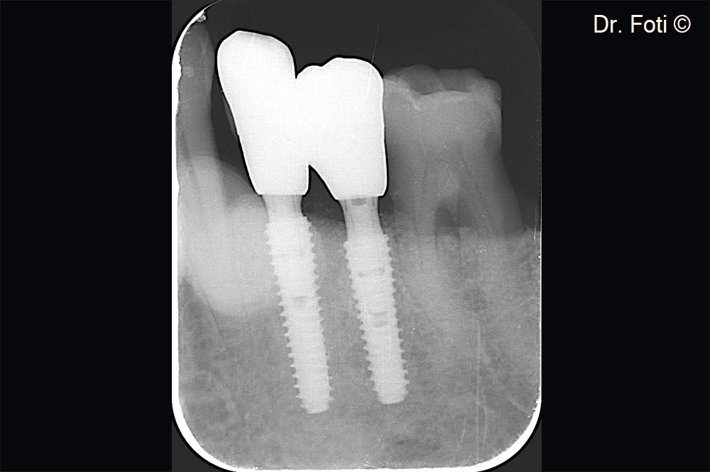
The follow-up radiograph shows newly formed bone between the canine and implant in position 34

The follow-up radiograph shows newly formed bone between the canine and implant in position 34

2-year check-up: creeping of the keratinized mucosa is noted.

2-year check-up: creeping of the keratinized mucosa is noted.

The comparison of the pre-operative and the two-year follow-up. CBCT reveals new bone formation in positions 34 and 35.

The comparison of the pre-operative and the two-year follow-up. CBCT reveals new bone formation in positions 34 and 35.

The two-year follow-up CBCT shows a vertical bone gain of 6.90 mm

The two-year follow-up CBCT shows a vertical bone gain of 6.90 mm

CBCT cross sections at 2 years show the presence of a convex-shaped porcine cortical lamina (arrows). Long-term resorption of the cortical lamina promotes this type of result.

CBCT cross sections at 2 years show the presence of a convex-shaped porcine cortical lamina (arrows). Long-term resorption of the cortical lamina promotes this type of result.

The seven-year follow-up shows creeping of the keratinized mucosa and new papillae formation. The bone peak is stable between the canine and the implant in position 34

The seven-year follow-up shows creeping of the keratinized mucosa and new papillae formation. The bone peak is stable between the canine and the implant in position 34

The seven-year follow-up shows creeping of the keratinized mucosa and new papillae formation. The bone peak is stable between the canine and the implant in position 34

The seven-year follow-up shows creeping of the keratinized mucosa and new papillae formation. The bone peak is stable between the canine and the implant in position 34

Used biomaterials
Gen-Os 2025
Gen-Os®
lamina
Lamina®
Are you a medical professional?
No

Attention please! The OsteoBiol® website contains information on Medical Devices, which may be dangerous for the patient health and safety if not used exclusively by medical professionals.