Vertical augmentation using the horizontal osteotomy technique of the jaw ridge

Dr. Rustam Shamsutdinov, Dr. Ilgam Urazbakhtin
Initial situation

A male patient (77 years old) requires a vertical augmentation of the jaw ridge

Used biomaterials
  • Sp-Block
Initial intraoral view

Initial intraoral view

Osteotomy of the jaw ridge

Osteotomy of the jaw ridge

Osteotomy of the jaw ridge

Osteotomy of the jaw ridge

Osteotomy of the jaw ridge

Osteotomy of the jaw ridge

Sp-Block 35x10x5 mm

Sp-Block 35x10x5 mm

Augmentation using the inlay bone graft technique

Augmentation using the inlay bone graft technique

Augmentation using the inlay bone graft technique

Augmentation using the inlay bone graft technique

Augmentation using the inlay bone graft technique

Augmentation using the inlay bone graft technique

Intraoral view after 4 months

Intraoral view after 4 months

Installation of Astra Tech TX dental implants

Installation of Astra Tech TX dental implants

Installation of Astra Tech TX dental implants

Installation of Astra Tech TX dental implants

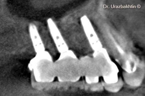
X-ray 3 years post-op

X-ray 3 years post-op

View of orthopedic structures 8 years post-op

View of orthopedic structures 8 years post-op

View of orthopedic structures 8 years post-op

View of orthopedic structures 8 years post-op

Final x-ray after 8 years

Final x-ray after 8 years

Used biomaterials
Sp-Block
Sp‑Block
Are you a medical professional?
No

Attention please! The OsteoBiol® website contains information on Medical Devices, which may be dangerous for the patient health and safety if not used exclusively by medical professionals.