Treatment of upper molar furcation III defect and angular defects in a periodontitis stage IV grade C patient

Dr. Gabriella Grusovin
Initial situation

A male patient (37 years old) shows a periodontal defect in the upper jaw

Used biomaterials
  • Gen-Os®
1. Healthy patient, non smoker intraoral clinical view buccal

1. Healthy patient, non smoker intraoral clinical view buccal

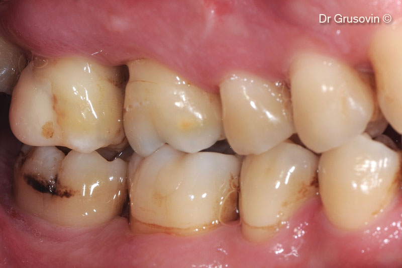
2. #16 vital, furcation III involvement vestibular distal

2. #16 vital, furcation III involvement vestibular distal

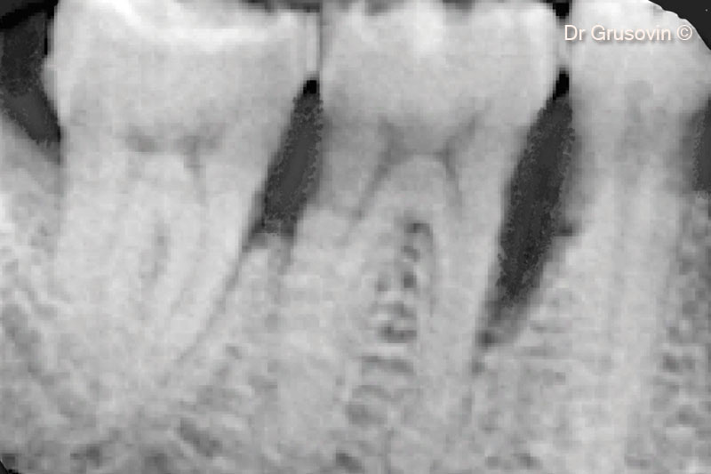
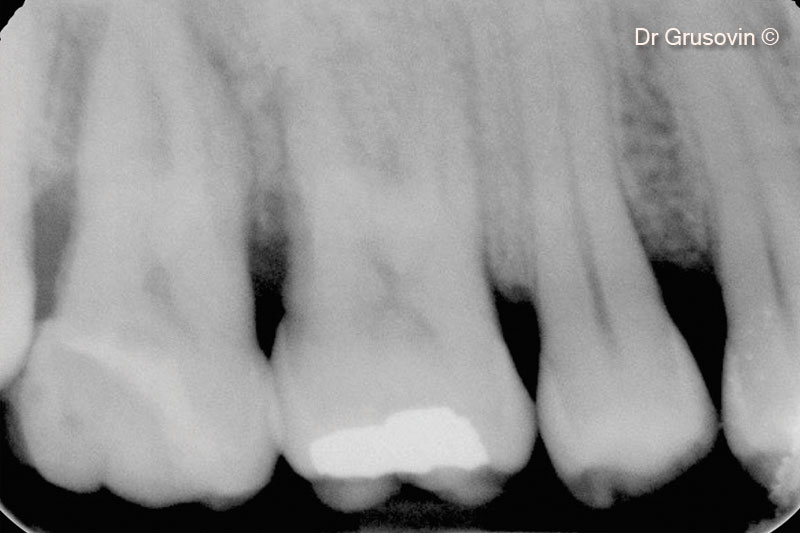
3. X-ray #16

3. X-ray #16

4. Clinical view during surgery: vestibular and distal furcation III involvement

4. Clinical view during surgery: vestibular and distal furcation III involvement

5. OsteoBiol® Gen-Os® inserted vestibularly

5. OsteoBiol® Gen-Os® inserted vestibularly

6. OsteoBiol® Gen-Os® inserted distally

6. OsteoBiol® Gen-Os® inserted distally

7. Closure of papilla preservation flap

7. Closure of papilla preservation flap

8. X-ray at 1 year follow-up

8. X-ray at 1 year follow-up

9. Bone formation in #16 furcation defect at 1 year follow-up

9. Bone formation in #16 furcation defect at 1 year follow-up

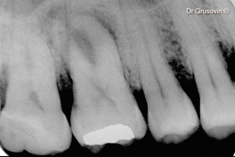
10. X-rays #46

10. X-rays #46

11. Single flap #46

11. Single flap #46

12. OsteoBiol® Gen-Os® to fill the two-wall defect. The papilla is not elevated

12. OsteoBiol® Gen-Os® to fill the two-wall defect. The papilla is not elevated

13. Single flap closure

13. Single flap closure

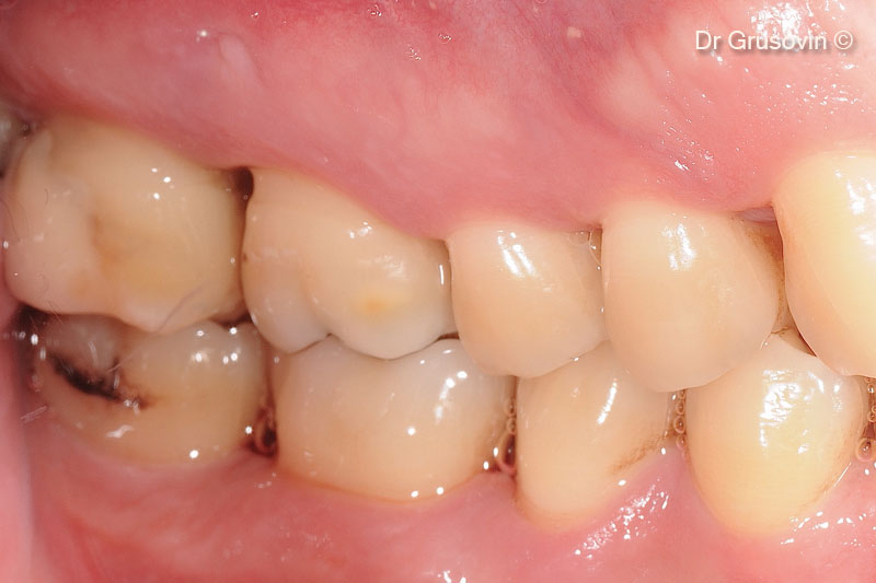
14. Clinical view at 7 years follow-up

14. Clinical view at 7 years follow-up

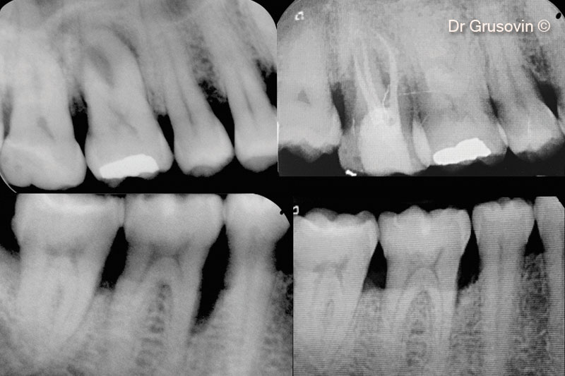
15. X-rays of baseline vs 7 years follow-up

15. X-rays of baseline vs 7 years follow-up

Used biomaterials
Gen-Os 2025
Gen-Os®
Are you a medical professional?
No

Attention please! The OsteoBiol® website contains information on Medical Devices, which may be dangerous for the patient health and safety if not used exclusively by medical professionals.