Treatment of a post-extractive socket

Prof. Antonio Barone
Initial situation

A male patient (53 years old) shows a fractured tooth. 

Used biomaterials
  • Evolution
  • mp3®
Occlusal view. Tooth n 26

Occlusal view. Tooth n 26

Periapical Radiograph

Periapical Radiograph

Fresh extraction socket grafted with MP3 and Evolution membrane

Fresh extraction socket grafted with MP3 and Evolution membrane

Healing after 4 months

Healing after 4 months

Implant Placement after 5 months

Implant Placement after 5 months

Periapical Radiograph immediately after implant placement

Periapical Radiograph immediately after implant placement

Healing Abutment, Occlusal View

Healing Abutment, Occlusal View

Final restoration, Occlusal View

Final restoration, Occlusal View

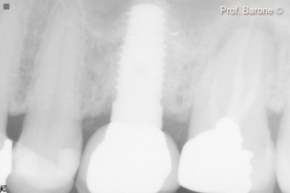
Periapical Radiograph after prothetic delivery

Periapical Radiograph after prothetic delivery

Final Restoration at 3-year follow-up

Final Restoration at 3-year follow-up

Final Restoration at 3-year follow-up

Final Restoration at 3-year follow-up

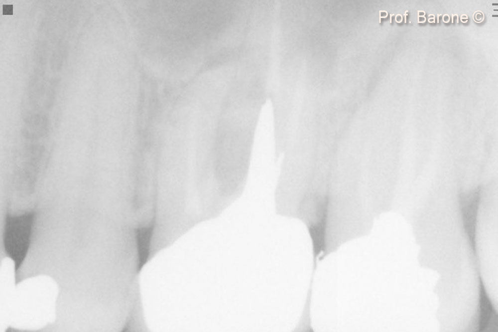
Periapical Radiograph at 3-year follow up

Periapical Radiograph at 3-year follow up

Used biomaterials
mp3
mp3®
evolution
Evolution
Are you a medical professional?
No

Attention please! The OsteoBiol® website contains information on Medical Devices, which may be dangerous for the patient health and safety if not used exclusively by medical professionals.