Treatment of a periodontal defect with the Modified Papilla Preservation Technique

Dr. Gerd Körner
Initial situation

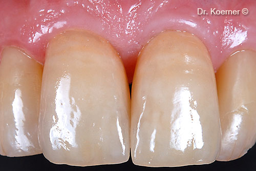
A male patient (61 years old) shows a periodontal defect in the esthetic area

Used biomaterials
  • Evolution
  • mp3®
Localized periodontal defect 11

Localized periodontal defect 11

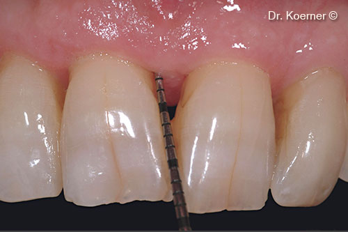
Pocket probing 9mm

Pocket probing 9mm

Initial x-ray

Initial x-ray

Incision following the Modified Papilla Preservation Technique

Incision following the Modified Papilla Preservation Technique

Root planning with Piezo diamond tip

Root planning with Piezo diamond tip

Defect filled with mp3® and tailored Evolution membrane

Defect filled with mp3® and tailored Evolution membrane

Clinical situation 4 months post-op with splinting

Clinical situation 4 months post-op with splinting

X-ray situation 4 months post-op with splinting

X-ray situation 4 months post-op with splinting

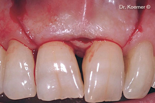
Removal of splinting before interproximal restauration

Removal of splinting before interproximal restauration

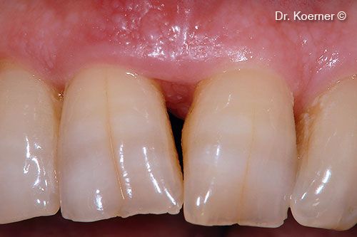
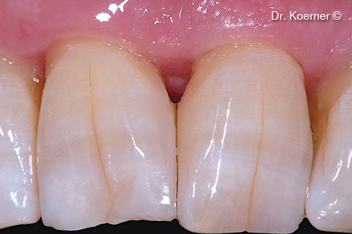
Clinical situation 6 months post-op

Clinical situation 6 months post-op

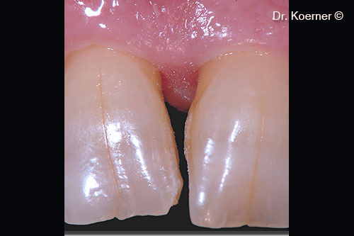
Clinical situation 10 years post-op

Clinical situation 10 years post-op

X-ray situation 10 years post-op

X-ray situation 10 years post-op

Final restoration with ceramic veneers 13-23

Final restoration with ceramic veneers 13-23

Used biomaterials
mp3
mp3®
evolution
Evolution
Are you a medical professional?
No

Attention please! The OsteoBiol® website contains information on Medical Devices, which may be dangerous for the patient health and safety if not used exclusively by medical professionals.