Treatment of a periodontal defect in the lower jaw

Prof. Patrick R. Schmidlin
Initial situation

A female patient (42 years old) shows a deep periodontal defect

Used biomaterials
  • GTO®
  • Lamina
Preoperative clinical view of the affected site

Preoperative clinical view of the affected site

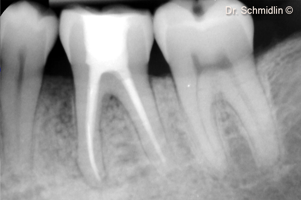
Preoperative X-ray

Preoperative X-ray

Periodontal probing of the affected site

Periodontal probing of the affected site

View of the defect after degranulation and cleaning

View of the defect after degranulation and cleaning

Application of the graft material GTO®

Application of the graft material GTO®

Application of Lamina®

Application of Lamina®

Deep horizontal matrace suture for cornal displacement of the flap and membrane stabilization

Deep horizontal matrace suture for cornal displacement of the flap and membrane stabilization

Tension-free mobilzation of the flap

Tension-free mobilzation of the flap

CBCT of the furcation area after 6 months

CBCT of the furcation area after 6 months

CBCT of the mesial root after 6 months

CBCT of the mesial root after 6 months

Pre-op X-Ray

Pre-op X-Ray

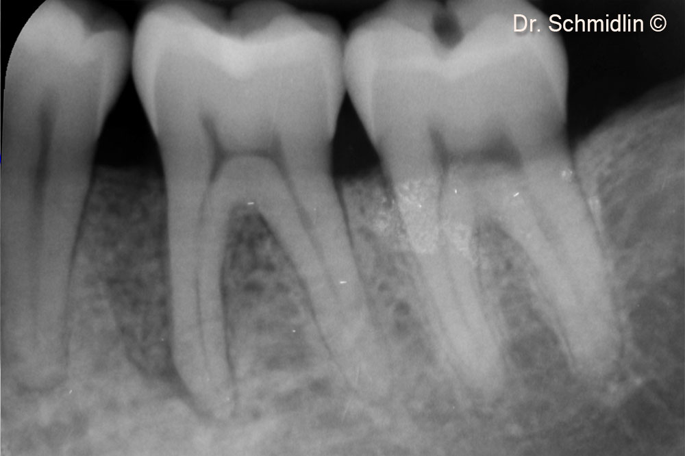
Post-op X-Ray

Post-op X-Ray

Used biomaterials
gto
GTO®
lamina
Lamina®
Are you a medical professional?
No

Attention please! The OsteoBiol® website contains information on Medical Devices, which may be dangerous for the patient health and safety if not used exclusively by medical professionals.