Treatment of a peri-implant defect

Dr. Emilio Rodríguez Fernández
Initial situation

A male patient (59 years old) shows a peri-implant lesion

Used biomaterials
  • Putty
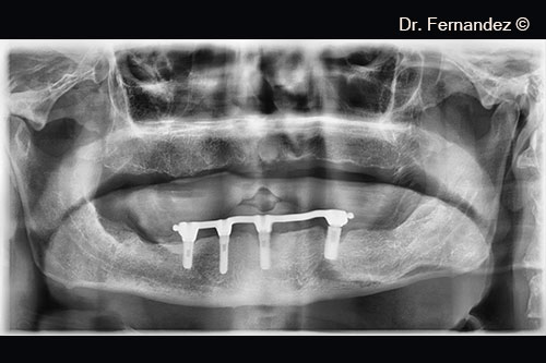
Initial radiological appearance

Initial radiological appearance

Initial situation with purulent exudate and deficit of keratinized gingiva

Initial situation with purulent exudate and deficit of keratinized gingiva

Surgical approach

Surgical approach

Connective tissue graft

Connective tissue graft

Cleaning and decontamination of the peri-implant defect and the implant surface

Cleaning and decontamination of the peri-implant defect and the implant surface

Filling of the peri-implant defect with Putty

Filling of the peri-implant defect with Putty

Clinical situation, 3 months later

Clinical situation, 3 months later

Clinical situation, 3 months later

Clinical situation, 3 months later

Used biomaterials
putty
Putty
Are you a medical professional?
No

Attention please! The OsteoBiol® website contains information on Medical Devices, which may be dangerous for the patient health and safety if not used exclusively by medical professionals.