Treatment of a gingival recession in the lower jaw

Prof. Rok Gašperšič
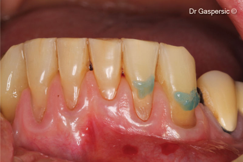
Initial situation

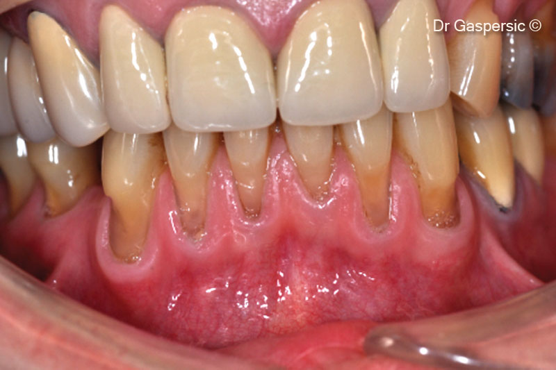
A female patient (55 years old) shows a gingival recession in the lower jaw

Used biomaterials
  • Derma
1. Initial condition

1. Initial condition

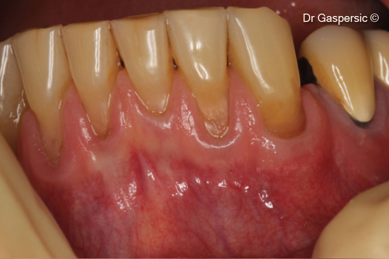
2. Recession defects and erosions

2. Recession defects and erosions

3. Recession defects and erosions

3. Recession defects and erosions

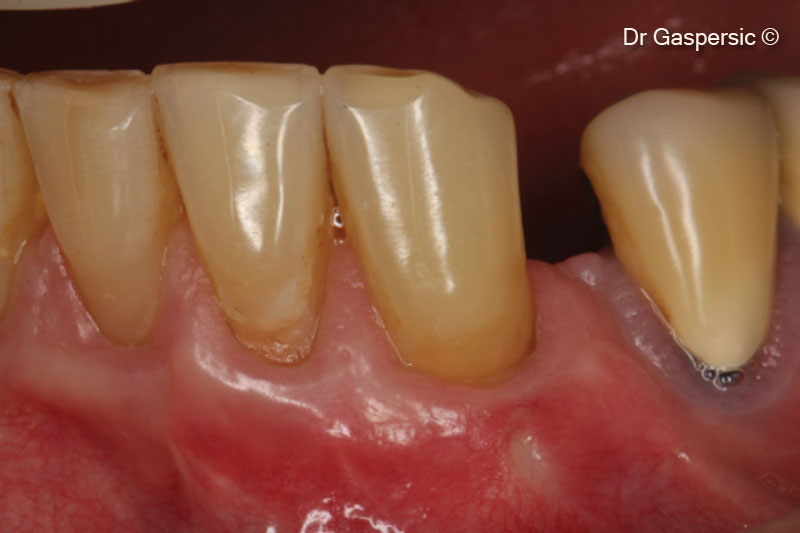
4. Enamel etching before restoration of enamel defects

4. Enamel etching before restoration of enamel defects

5. Enamel defects restored with composite material

5. Enamel defects restored with composite material

6. Split thickness flap elevation

6. Split thickness flap elevation

7. Depithelization of papillas

7. Depithelization of papillas

8. Occlusal view

8. Occlusal view

9. OsteoBiol® Derma suturing with mattress sutures to periosteum

9. OsteoBiol® Derma suturing with mattress sutures to periosteum

10. Both vertical mattress sutures in situ

10. Both vertical mattress sutures in situ

11. Additional compressing cross sutures

11. Additional compressing cross sutures

12. Wound closure

12. Wound closure

13. Healing at 1 week

13. Healing at 1 week

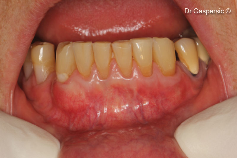
14. 2 years follow-up

14. 2 years follow-up

15. Complete area 2 years after surgery

15. Complete area 2 years after surgery

Used biomaterials
derma
Derma
Are you a medical professional?
No

Attention please! The OsteoBiol® website contains information on Medical Devices, which may be dangerous for the patient health and safety if not used exclusively by medical professionals.