Transcrestal sinus floor elevation with the hydrodinamic technique

Dr. Luca Comuzzi
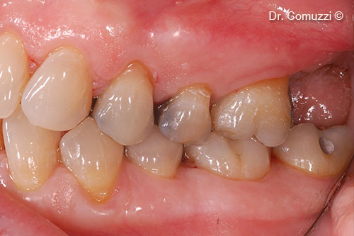
Initial situation

Tooth #27 is missing in a female patient (51 years old)

Used biomaterials
  • Putty
1. Initial clinical situation: 27 is missing

1. Initial clinical situation: 27 is missing

2. Initial vertical bone

2. Initial vertical bone

3. Putty insertion

3. Putty insertion

4. Implant insertion (Astra, 9-mm length and 5-mm diameter)

4. Implant insertion (Astra, 9-mm length and 5-mm diameter)

5. Implant position at crest

5. Implant position at crest

6. X-ray of Sinus Lift at implant placement

6. X-ray of Sinus Lift at implant placement

7. Cover screw application

7. Cover screw application

8. Impression coping

8. Impression coping

9. Metal try-in

9. Metal try-in

10. Implant Abutment

10. Implant Abutment

11. Case completed with 27 in place

11. Case completed with 27 in place

12. Follow-up at 3 years

12. Follow-up at 3 years

13. Follow-up at 4 years

13. Follow-up at 4 years

14. Follow-up at 12 years

14. Follow-up at 12 years

Used biomaterials
putty
Putty
Are you a medical professional?
No

Attention please! The OsteoBiol® website contains information on Medical Devices, which may be dangerous for the patient health and safety if not used exclusively by medical professionals.