Transcrestal sinus floor elevation with a collagenic bone paste

Dr Teresa Lombardi
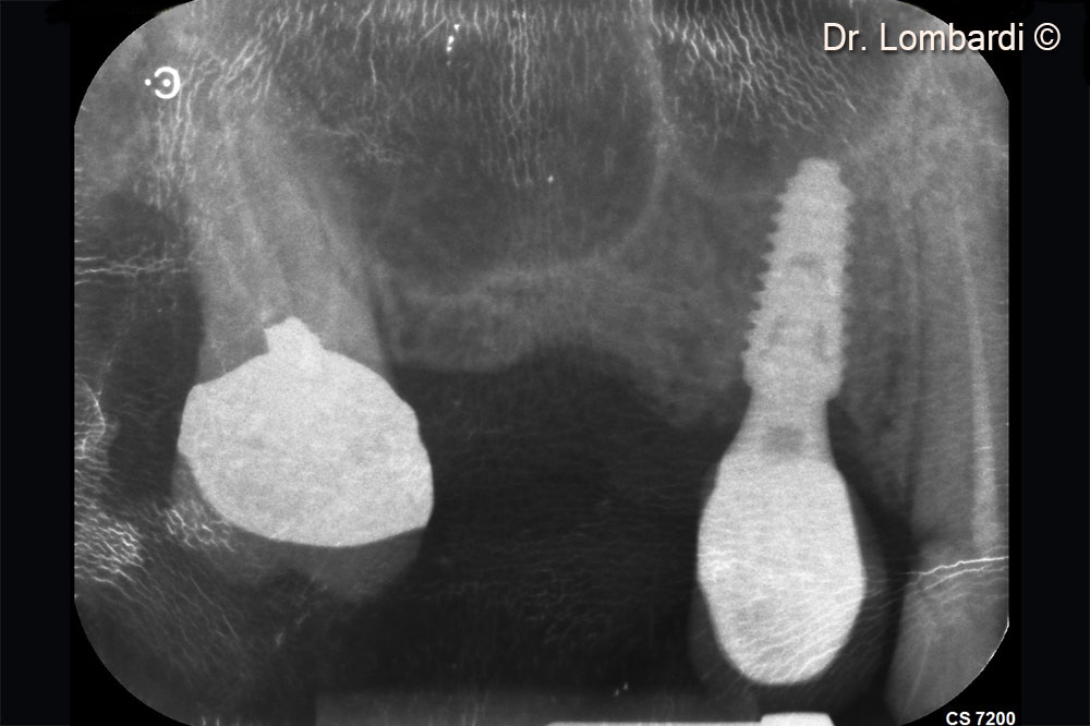
Initial situation

A male patient shows an atrophic maxilla. Bone augmentation is necessary before implant placement. 

Used biomaterials
  • Putty
The bone crest needs to be augmented before implant placement

The bone crest needs to be augmented before implant placement

The bone crest needs to be augmented before implant placement

The bone crest needs to be augmented before implant placement

Putty gently detaches and displaces the sinus membrane

Putty gently detaches and displaces the sinus membrane

Immediate implant insertion is required to counteract the physiological biomaterial shrinkage

Immediate implant insertion is required to counteract the physiological biomaterial shrinkage

Used biomaterials
putty
Putty
Are you a medical professional?
No

Attention please! The OsteoBiol® website contains information on Medical Devices, which may be dangerous for the patient health and safety if not used exclusively by medical professionals.