Soft tissue augmentation by means of a high-density dermal matrix: the MTG technique

Dr. Alessandro Minniti
Initial situation

A female (37 years old) patient shows a severe horizontal and vertical soft tissue shrinkage. 

Used biomaterials
  • Derma
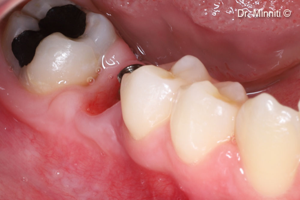
Pre-op clinical view - apical

Pre-op clinical view - apical

Derma 2 mm is used to thicken the peri-implant soft tissue

Derma 2 mm is used to thicken the peri-implant soft tissue

One-year follow-up

One-year follow-up

One-year follow-up

One-year follow-up

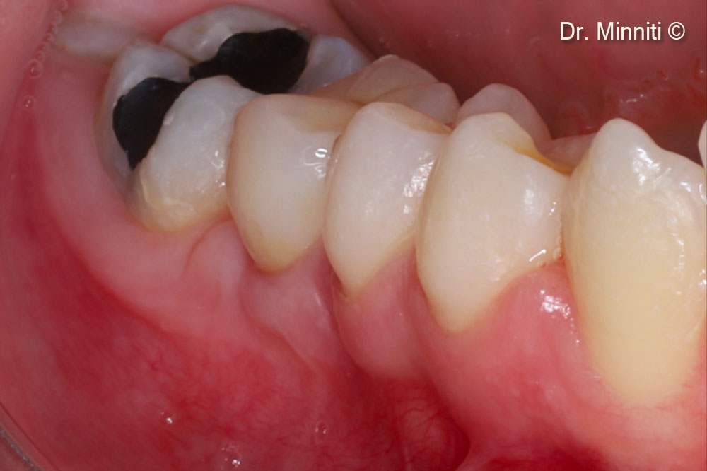
Pre-op clinical view - lateral view

Pre-op clinical view - lateral view

One-year follow-up - lateral view

One-year follow-up - lateral view

One-year follow-up withn the final restoration - lateral view

One-year follow-up withn the final restoration - lateral view

Used biomaterials
derma
Derma
Are you a medical professional?
No

Attention please! The OsteoBiol® website contains information on Medical Devices, which may be dangerous for the patient health and safety if not used exclusively by medical professionals.