Socket preservation with a ready-to-use sticky xenograft

Prof. Antonio Barone
Initial situation

A patient reports a gingival recession and a fistula.

Used biomaterials
  • GTO®
  • Evolution
Clinical pre-operative frontal view

Clinical pre-operative frontal view

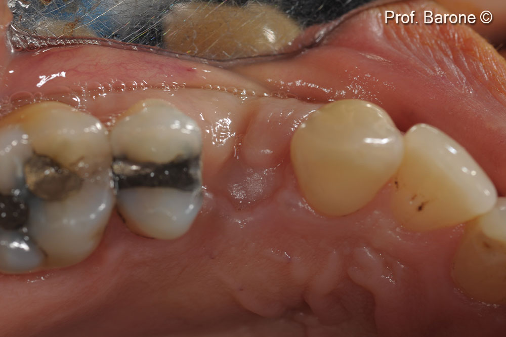
Clinical pre-operative lateral view of the tooth #24 (gingival recession and a fistula can be observed)

Clinical pre-operative lateral view of the tooth #24 (gingival recession and a fistula can be observed)

Pre-operative periapical radiograph

Pre-operative periapical radiograph

Tooth extraction and use of a surgical guide to measure vertical bone changes throughout the time

Tooth extraction and use of a surgical guide to measure vertical bone changes throughout the time

Tooth extraction and use of a surgical guide to measure vertical bone changes throughout the time

Tooth extraction and use of a surgical guide to measure vertical bone changes throughout the time

Extraction socket grafted with GTO®

Extraction socket grafted with GTO®

An Evolution collagen membrane was placed over the biomaterial to avoid granules loss

An Evolution collagen membrane was placed over the biomaterial to avoid granules loss

Grafted sites 6 weeks after ridge preservation. The good gingival healing should be observed.

Grafted sites 6 weeks after ridge preservation. The good gingival healing should be observed.

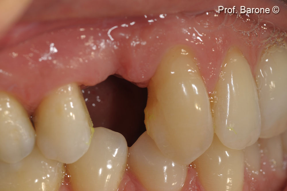
Clinical frontal view 16 weeks after ridge preservation

Clinical frontal view 16 weeks after ridge preservation

Clinical occlusal view 16 weeks after ridge preservation

Clinical occlusal view 16 weeks after ridge preservation

Clinical lateral view at implant placement (16 weeks after socket grafting) with a surgical guide

Clinical lateral view at implant placement (16 weeks after socket grafting) with a surgical guide

Clinical occlusal view during implant site preparation

Clinical occlusal view during implant site preparation

Clinical lateral view during implant site preparation

Clinical lateral view during implant site preparation

Clinical occlusal view of the inserted implant

Clinical occlusal view of the inserted implant

Clinical occlusal view with a healing abutment

Clinical occlusal view with a healing abutment

Clinical lateral view with a healing abutment

Clinical lateral view with a healing abutment

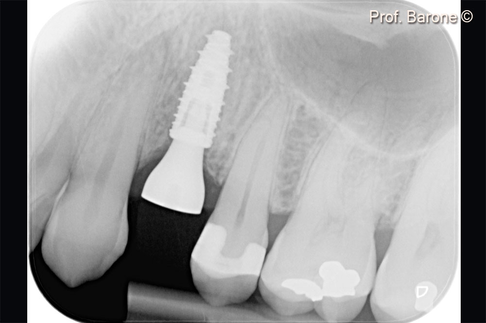
Periapical radiograph after implant placement

Periapical radiograph after implant placement

Clinical lateral view 3 months after implant placement during implant impression

Clinical lateral view 3 months after implant placement during implant impression

Clinical occlusal view 3 months after implant placement

Clinical occlusal view 3 months after implant placement

Clinical lateral view 3 months after implant placement

Clinical lateral view 3 months after implant placement

Clinical occlusal view 3 months after implant placement

Clinical occlusal view 3 months after implant placement

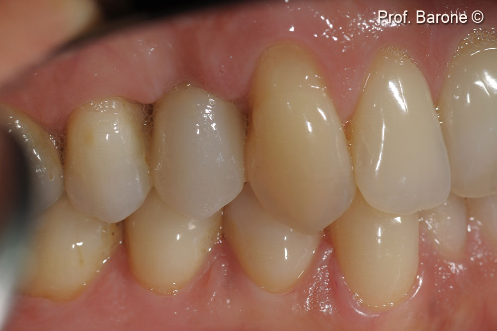
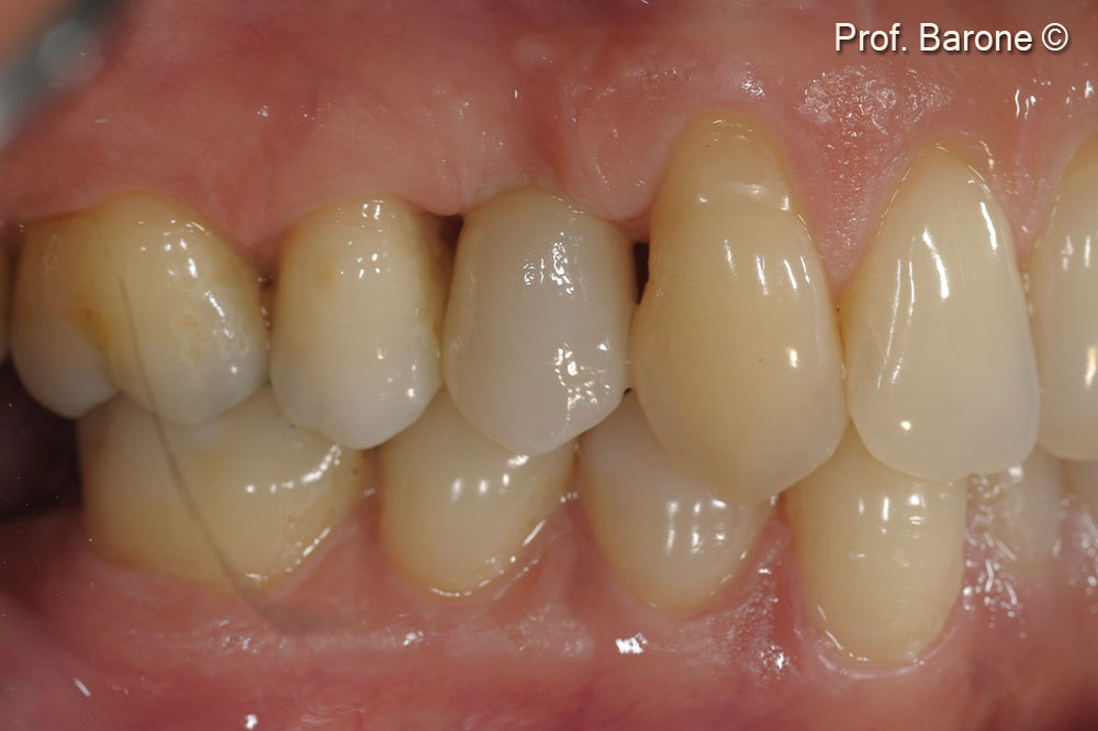
Clinical lateral view at final crown delivery

Clinical lateral view at final crown delivery

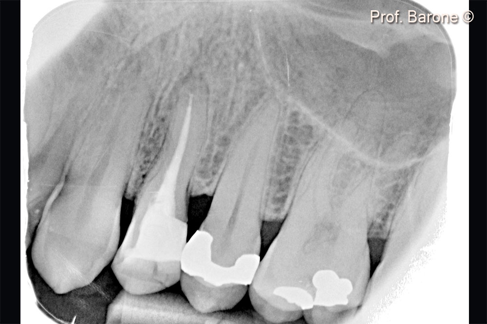
Periapical radiograph after crown delivery

Periapical radiograph after crown delivery

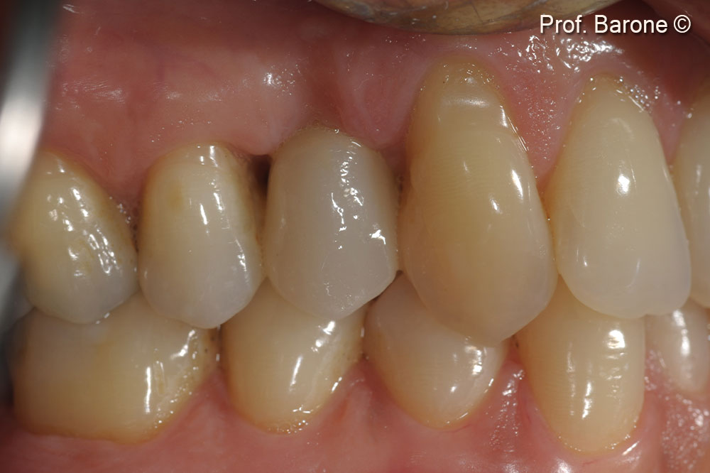
Clinical lateral view 3 weeks after final crown delivery

Clinical lateral view 3 weeks after final crown delivery

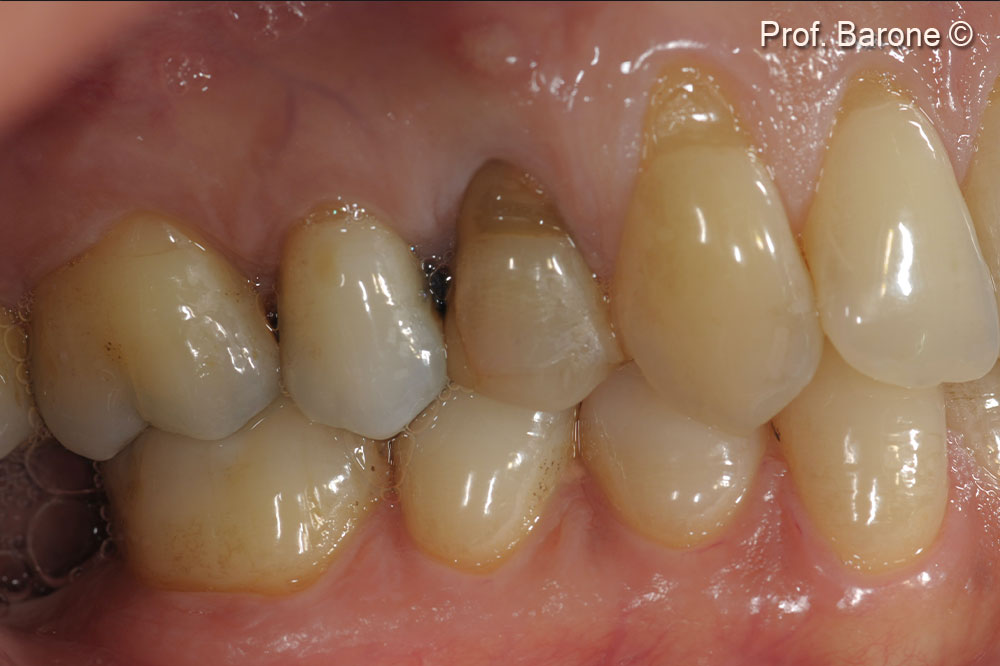
Clinical lateral view 6 weeks after final crown delivery

Clinical lateral view 6 weeks after final crown delivery

Are you a medical professional?
No

Attention please! The OsteoBiol® website contains information on Medical Devices, which may be dangerous for the patient health and safety if not used exclusively by medical professionals.