Sinus floor elevation with a pre-hydrated sticky bone

Prof. Antonio Barone
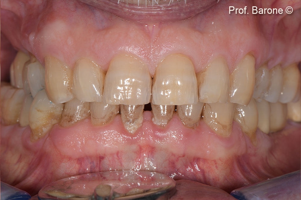
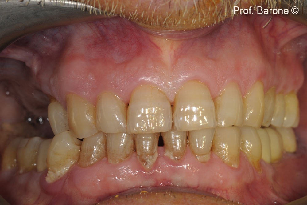
Initial situation

In a male patient (71 years old), the residual ridge height doesn’t allow implant placement.

Used biomaterials
  • GTO®
  • Evolution
Partial edentulism first quadrant

Partial edentulism first quadrant

Residual ridge height doesn’t allow implant placement

Residual ridge height doesn’t allow implant placement

Residual ridge height doesn’t allow implant placement, sinus membrane hypertrophy

Residual ridge height doesn’t allow implant placement, sinus membrane hypertrophy

Surgical access to the antero-lateral bone wall

Surgical access to the antero-lateral bone wall

Osteotomy window performed with surgical ultrasounds

Osteotomy window performed with surgical ultrasounds

Maxillary Sinus membrane was raised and protected with Evolution

Maxillary Sinus membrane was raised and protected with Evolution

Maxillary Sinus grafted with GTO®

Maxillary Sinus grafted with GTO®

Osteotomy window was stabilized with a surgical glue

Osteotomy window was stabilized with a surgical glue

X-Ray examination 7 months after Sinus Lift

X-Ray examination 7 months after Sinus Lift

X-Ray examination 7 months after Sinus Lift

X-Ray examination 7 months after Sinus Lift

X-Ray examination 7 months after Sinus Lift

X-Ray examination 7 months after Sinus Lift

Implants placed 7 months after Sinus Lift (Biotech Implants)

Implants placed 7 months after Sinus Lift (Biotech Implants)

Healing abutments were stabilized over implants

Healing abutments were stabilized over implants

Prosthetic restoration was delivered 3 months after implant placement

Prosthetic restoration was delivered 3 months after implant placement

Frontal view with the restoration

Frontal view with the restoration

Periapical X-Ray 2 years after implant placement

Periapical X-Ray 2 years after implant placement

Used biomaterials
gto
GTO®
evolution
Evolution
Are you a medical professional?
No

Attention please! The OsteoBiol® website contains information on Medical Devices, which may be dangerous for the patient health and safety if not used exclusively by medical professionals.