Sinus augmentation with simultaneous horizontal GBR

Dr. Sorin Andreica
Initial situation

A female patient (35 years old) shows a horizontal defect in the posterior area of the jaw.

Used biomaterials
  • Apatos®
  • mp3®
  • Gen-Os®
  • Evolution
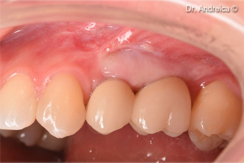
Buccal view of the posterior left maxilla showing a lack of the vestibule and a mucogingival line displaced palatally

Buccal view of the posterior left maxilla showing a lack of the vestibule and a mucogingival line displaced palatally

CBCT scan shows a very thin crest vertically and horizontally especially in the molar region and  the presence of a transversal septa. The osteo-meatal complex is patent

CBCT scan shows a very thin crest vertically and horizontally especially in the molar region and the presence of a transversal septa. The osteo-meatal complex is patent

Occlusal view after raising full thickness flaps showing the very thin residual crest

Occlusal view after raising full thickness flaps showing the very thin residual crest

Scraping the bone with a sharp piezoelectric insert for collecting bone chips when preparing  the lateral window acces

Scraping the bone with a sharp piezoelectric insert for collecting bone chips when preparing the lateral window acces

During membrane elevation a perforation occurred at the tip of the septa

During membrane elevation a perforation occurred at the tip of the septa

Collecting more autologous bony chips with ACM(autochipmaker) burs from the external oblique ridge

Collecting more autologous bony chips with ACM(autochipmaker) burs from the external oblique ridge

Biomaterials used for Horizontal augmentation:  Autologous bone + Gen-Os® and Apatos® 50/50  		         Sinus augmentation: Autologous bone + mp3® 40/60

Biomaterials used for Horizontal augmentation: Autologous bone + Gen-Os® and Apatos® 50/50 Sinus augmentation: Autologous bone + mp3® 40/60

Evolution Membrane STD 30 x 30mm, trimmed and folded to cover the perforation and secure the crestal horizontal augmentation

Evolution Membrane STD 30 x 30mm, trimmed and folded to cover the perforation and secure the crestal horizontal augmentation

The smaller part of the membrane coresponds to the sinus width and will be fixed under the schneiderian  membrane by the bone graft. The bigger part stays outside the sinus and will cover the horizontal graft

The smaller part of the membrane coresponds to the sinus width and will be fixed under the schneiderian membrane by the bone graft. The bigger part stays outside the sinus and will cover the horizontal graft

After filling the sinus and fixing the Evolution membrane we condense the bone mixture ouside the crest

After filling the sinus and fixing the Evolution membrane we condense the bone mixture ouside the crest

Stretching of the membrane and fixation with titanium tacks. Overgraft to compensate shrinkage

Stretching of the membrane and fixation with titanium tacks. Overgraft to compensate shrinkage

Tension free closure after periosteal releasing incisons, with Laurell-Gottlow and simple sutures

Tension free closure after periosteal releasing incisons, with Laurell-Gottlow and simple sutures

CBCT scan 5 months after surgery revealing the amount of bone that was augmented

CBCT scan 5 months after surgery revealing the amount of bone that was augmented

Inserting of two bone level implants with very good primary stability

Inserting of two bone level implants with very good primary stability

Repositioning the vestibule and increasing the keratinized tissue with a free gingival graft

Repositioning the vestibule and increasing the keratinized tissue with a free gingival graft

Developing of the emergence profiles after tissue healing

Developing of the emergence profiles after tissue healing

Custom Zirconia abutments and a ceramic layered Zirconia bridge cemented on top

Custom Zirconia abutments and a ceramic layered Zirconia bridge cemented on top

CBCT scan after 5 years showing the shrinkage of the sinus graft down to the apex of the implants and  corticalization indicating an optimal bone behaviour

CBCT scan after 5 years showing the shrinkage of the sinus graft down to the apex of the implants and corticalization indicating an optimal bone behaviour

Buccal view 5 years follow up, mantaining the hard and soft tissue architecture

Buccal view 5 years follow up, mantaining the hard and soft tissue architecture

Used biomaterials
mp3
mp3®
Gen-Os 2025
Gen-Os®
Apatos mix copia.png
Apatos®
evolution
Evolution
Are you a medical professional?
No

Attention please! The OsteoBiol® website contains information on Medical Devices, which may be dangerous for the patient health and safety if not used exclusively by medical professionals.