Implant rehabilitation in esthetic area

Dr. Guerino Paolantoni
Initial situation

A female patient (35 years old) shows a fractured upper left incisor

Used biomaterials
  • Evolution
  • Gen-Os®
Upper left incisor with horizontal fracture of the root

Upper left incisor with horizontal fracture of the root

Upper left incisor with horizontal fracture of the root

Upper left incisor with horizontal fracture of the root

Upper left incisor with horizontal fracture of the root

Upper left incisor with horizontal fracture of the root

Vertical bone defect after flap elevation

Vertical bone defect after flap elevation

Horizontal bone defect after flap elevation

Horizontal bone defect after flap elevation

Implant positioning

Implant positioning

Implant positioning

Implant positioning

Gen-Os® is used in the buccal portion to fill the bone defect

Gen-Os® is used in the buccal portion to fill the bone defect

An Evolution collagen membrane is fixed with titanium pins

An Evolution collagen membrane is fixed with titanium pins

An Evolution collagen membrane is fixed with titanium pins

An Evolution collagen membrane is fixed with titanium pins

Flap clousure with 6.0 goretex suture

Flap clousure with 6.0 goretex suture

Aspect of the edentulous area after six months

Aspect of the edentulous area after six months

Temporary screwed composite rehabilitation

Temporary screwed composite rehabilitation

Rx control

Rx control

Close-up view of the peri-implant tissue

Close-up view of the peri-implant tissue

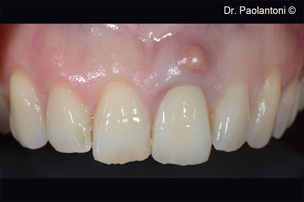
Definitive screw-retained zirconia crown

Definitive screw-retained zirconia crown

Rx control

Rx control

Used biomaterials
Gen-Os 2025
Gen-Os®
evolution
Evolution
Are you a medical professional?
No

Attention please! The OsteoBiol® website contains information on Medical Devices, which may be dangerous for the patient health and safety if not used exclusively by medical professionals.