Treatment of a periodontal defect with NIPSA and EPPT protocols

Dr. Tom Kobe
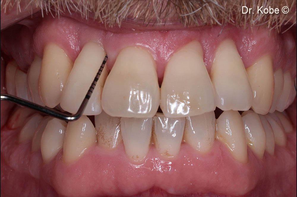
Initial situation

A male patient (40 years old) shows a deep periodontal defect

Used biomaterials
  • Gen-Os®
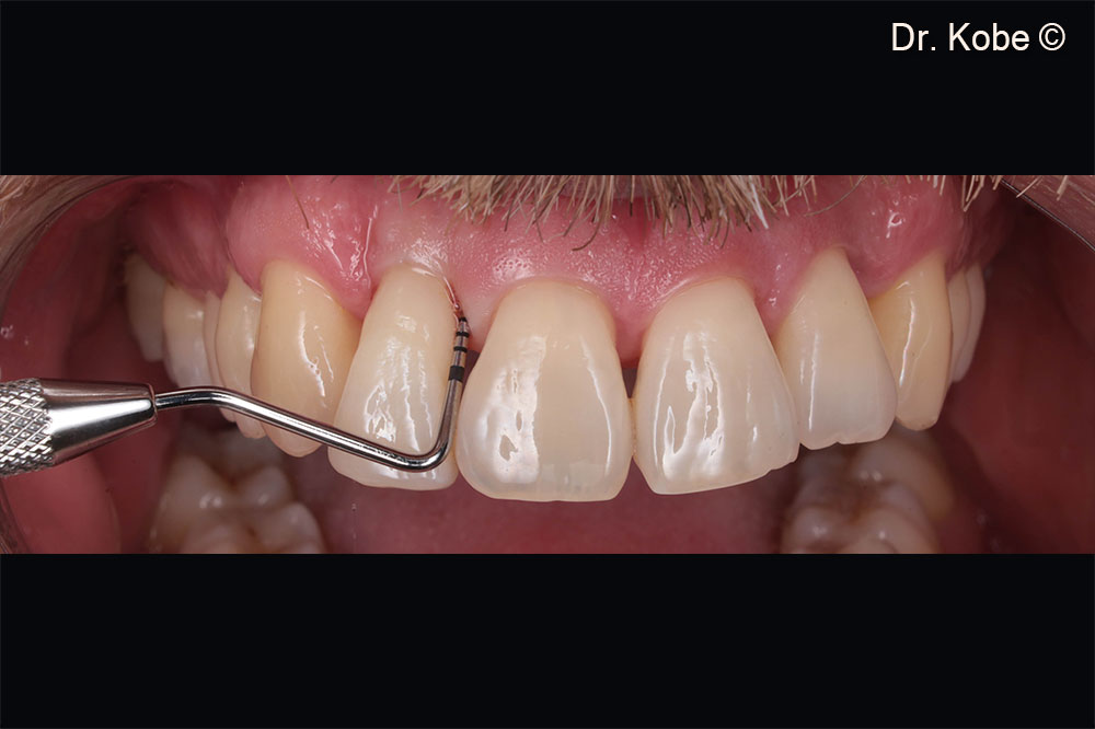
Initial situation in the first quadrant

Initial situation in the first quadrant

Vertical bone defect on the radiograph

Vertical bone defect on the radiograph

Initial situation in the second quadrant

Initial situation in the second quadrant

Vertical bone defect on the radiograph

Vertical bone defect on the radiograph

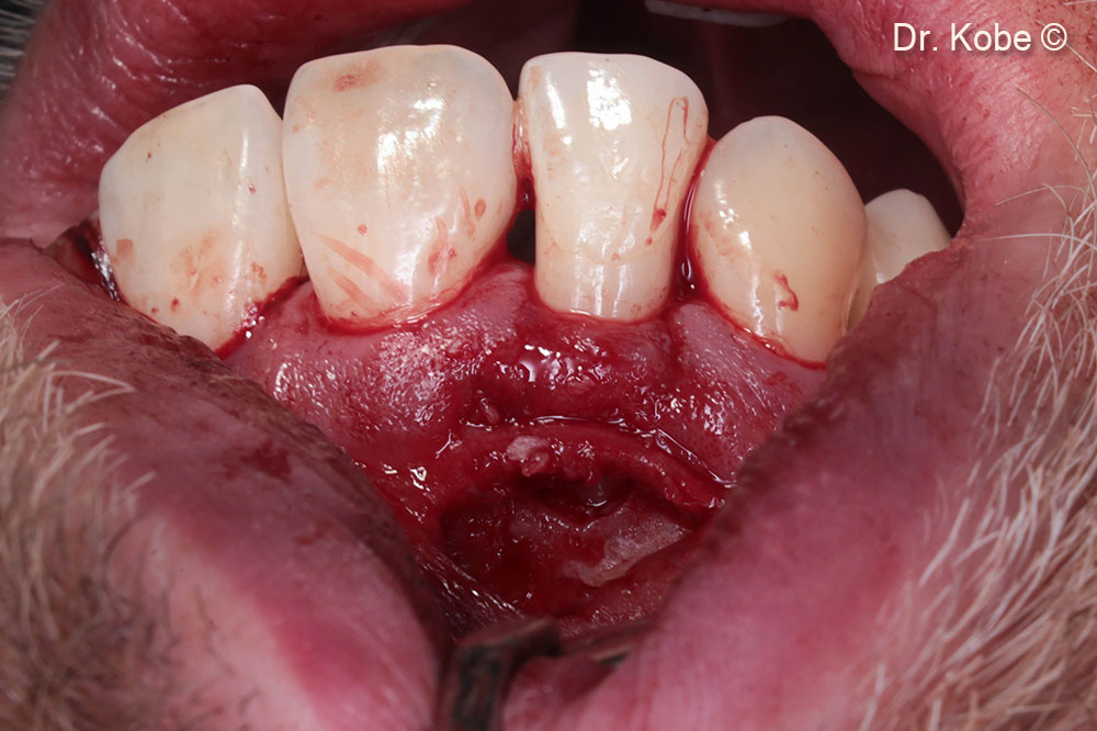
Horizontal incision (NIPSA) in the vestibule

Horizontal incision (NIPSA) in the vestibule

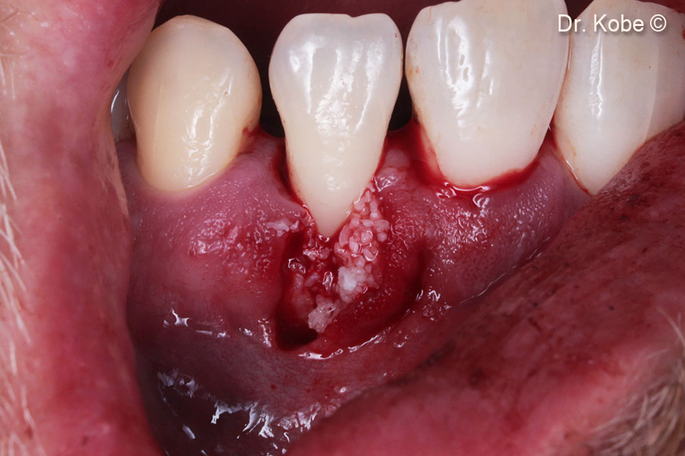
Access to the defect

Access to the defect

Defect filled with Gen-Os®

Defect filled with Gen-Os®

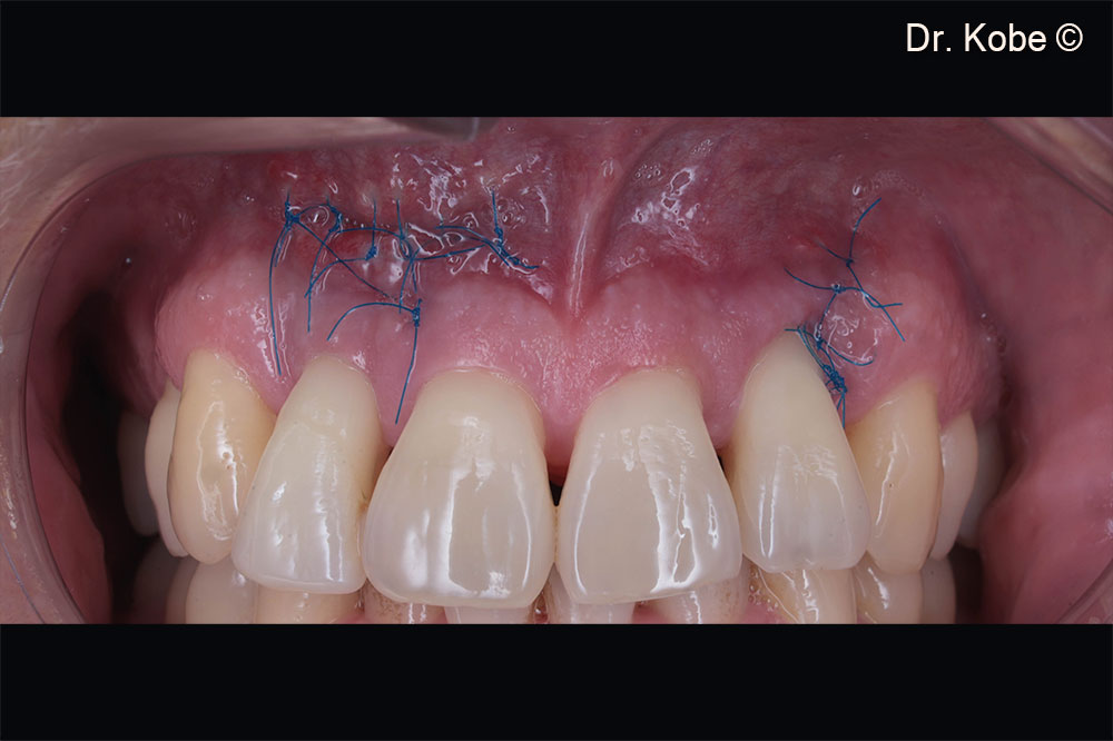
Wound sutured with interrupted sutures

Wound sutured with interrupted sutures

Vertical incision (EPPT) at the adjacent tooth

Vertical incision (EPPT) at the adjacent tooth

Defect filled with Gen-Os®

Defect filled with Gen-Os®

Wound sutured with interrupted sutures

Wound sutured with interrupted sutures

Complete wound closure after two week

Complete wound closure after two week

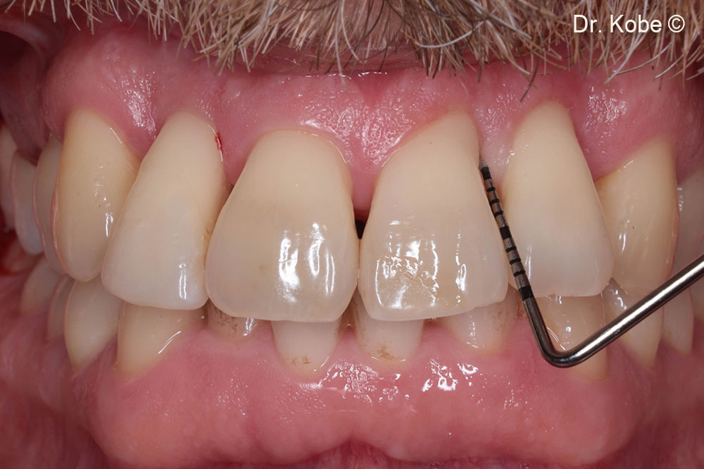
1-year follow-up in the first quadrant

1-year follow-up in the first quadrant

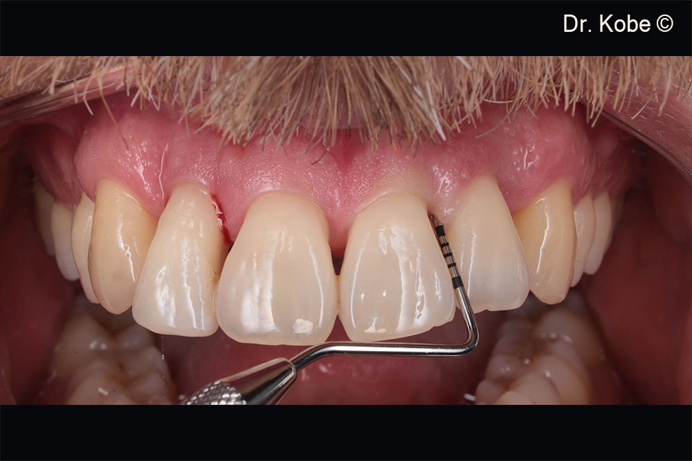
1-year follow-up in the second quadrant

1-year follow-up in the second quadrant

Radiograph 1 year after treatment

Radiograph 1 year after treatment

Radiograph 1 year after treatment

Radiograph 1 year after treatment

Used biomaterials
Gen-Os 2025
Gen-Os®
Are you a medical professional?
No

Attention please! The OsteoBiol® website contains information on Medical Devices, which may be dangerous for the patient health and safety if not used exclusively by medical professionals.